Dental Fillings in Kalamazoo

Dental Filling ModelDo you think you have a cavity and need a dental filling in Kalamazoo? Look no further than Lindenwoods Dental. We strive to make your dental filling or tooth restoration as quick and painless as possible. We all know tooth decay and cavities can be painful but it can also lead to worse infections if not treated properly. The good news is that tooth decay is also the most preventable disease in the world today.

At Lindenwoods Dental we use the latest technology to diagnose, treat and prevent tooth decay. We also strive to educate our patients on proper dental hygiene so that they can help themselves in preventing decay. We are a mercury-free dental practice, so working to replace any mercury containing fillings of our patients is important to us.

What You Should Know About Dental Fillings

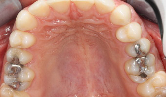
The dental industry has evolved and we no longer recommend silver as the filler in tooth decay. The problem with silver is that it can contain a percentage of mercury (which can be detrimental to your health). Silver and metal fillings can also expand and contract over time as you expose them to hot and cold temperatures. This can lead to exposed pockets around the filling and the tooth. Food and sugar can then get trapped in these little pockets causing further tooth decay. Tooth-colored restorations composed of resins and/or porcelain are a better alternative to metal fillings. These types of materials act as an aesthetic filler (who wants a bunch of metal in their mouth) and can actually help strengthen the tooth.

CONTACT US

Lindenwoods Dental
200 Turwill Ln #1
Kalamazoo, MI 49006
(269) 344-9006

OFFICE HOURS

Monday: 8AM – 4:30PM
Tuesday: 8AM – 4:30PM
Wednesday: Closed
Thursday: 8AM – 4:30PM
Friday: 7:30AM – 1:30PM
Satuday: Closed
Sunday: Closed

American Academy of Cosmetic Dentistry

FACEBOOK

TWITTER

YELP